当前位置 >> 首页>>磴口县门户网站>>政府信息公开>>法定主动公开内容>>重点领域信息>>医疗卫生
磴口县人民医院开通“种植牙”职工医保报销
发布日期: 2023-12-18 信息来源: 磴口县人民医院 编辑:王硕 打印本页
分享到: 微信
qq 微博 空间
 

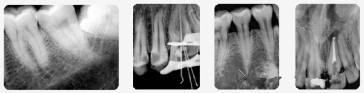
  年度新品Smart3D-X三合一智能口腔CBCT即将在磴口县人民医院投入运用,它将CT、全景、头颅和口内摄影(牙片)四种功能集合于一体,可满足各类口腔患者口腔X射线影像拍摄需求,做出精准诊断。现已面向口腔患者开启种植检查预约,并开通种植牙职工医保报销。
  轻松定位 全景扫描区域
  
  分毫呈现 应对正畸诊疗
  
  准确扫描种植部位 避免其他损伤
  
  医师简介:
  徐尚飞 医师
  毕业于内蒙古科技大学,曾于巴彦淖尔市医院学习三年,磴口县人民医院口腔科工作6年,擅长口腔颌面部诊疗及口腔内科,口腔修复,口腔种植专业。   
  杨睿元 医师
  毕业于内蒙古医科大学,曾于包头市一机口腔医院学习一年,于巴彦淖尔市临河区樊平口腔诊所工作2年, 在磴口县人民医院工作三年,擅长口腔颌面部诊疗及口腔内科,口腔修复,口腔种植专业。  
  马婷 医师
  毕业于内蒙古通辽职业学院,曾在呼和浩特市聚仁口腔门诊部学习1年,磴口县人民医院工作1年擅长口腔口腔颌面部诊疗及口腔内科,口腔修复,口腔种植专业。
  预约电话:
  徐大夫:13654784244;
  杨大夫:15248080678;
  口腔科:4230177;
  地址:磴口县人民医院门诊二楼口腔科。

相关文档:

 
 
 
 
 
主办:磴口县人民政府办公室 承办:磴口县政务服务与数据管理局
蒙ICP备13001742号蒙公网安备 15082202000101号
Email:axxaty@163.com 网站标识码:1508220008 联系电话:0478-4262212
网站地图
“微磴口”公众号